
【亞太新聞網/記者孔亮云/台中報導】
45歲的魏女士因為近半年來出現下腹部悶痛,所以到仁愛長庚合作聯盟醫院(大里仁愛醫院)婦產科林玉珊醫師門診求診,檢查後發現有下腹部悶痛合併壓迫症狀,竟然有7公分的肌瘤。經採用達文西機械手臂系統結合經陰道自然孔手術,於術後一週後即返家休養。由於手術並未在腹部留下傷口,讓魏女士感到非常驚訝,林玉珊醫師表示,傷口只是藏在看不到的地方,這不只是手術傷口變小,更代表病人能更快回到自己的生活與角色中。

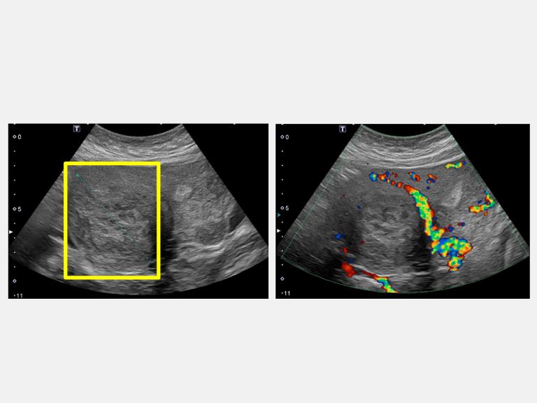
▲超音波顯示病人下腹部悶痛合併壓迫症狀,有7公分肌瘤(左圖方框處)。(圖╱仁愛長庚醫院提供)
林玉珊醫師指出,傳統腹腔鏡手術雖屬微創方式,但仍需在腹部開設多個小切口。經陰道自然孔手術是利用陰道作為自然通道進入骨盆腔,完全免除腹部傷口。第四代達文西機械手臂系統的高解析3D影像讓骨盆腔結構更清楚,機械手臂能在極狹小的空間中完成精細的分離與縫合。病人出血量少、疼痛感輕微,大多數人隔天即可下床,恢復速度比傳統手術明顯更快。

▲第四代達文西機械手臂系統讓醫師能以坐姿操作控制台,透過細微手指動作即可精準帶動機械手臂。在手術過程中鏡頭穩定、視野清晰,醫師不再需要長時間維持高強度姿勢,能把專注力放在每個細節上。(圖╱仁愛長庚醫院提供)
林玉珊醫師說,經陰道自然孔手術雖創傷小,但傳統操作對醫師姿勢與體力要求高。第四代達文西機械手臂系統讓醫師能以坐姿操作控制台,透過細微手指動作即可精準帶動機械手臂。在手術過程中鏡頭穩定、視野清晰,醫師不再需要長時間維持高強度姿勢,能把專注力放在每個細節上,這讓手術更安全,也更優雅。
林玉珊醫師表示,她與院內婦癌及婦女泌尿科醫師密切合作,依據不同病症選擇最適合的手術方式。第四代達文西機械手臂系統讓醫師能在同一系統下執行多種婦科手術,從良性腫瘤切除到婦癌手術、婦女泌尿手術,都能更精確、出血更少,這對病人與醫師都是雙贏。而經陰道自然孔手術主要適用於子宮全切除、特定位置的激流切除及卵巢相關手術,可在沒有腹部傷口的情況下完成治療。
林玉珊醫師強調,仁愛長庚合作聯盟醫院(大里仁愛醫院)婦產科擁有具達文西手術專長的團隊,涵蓋婦科腫瘤、泌尿婦科與微創手術等領域,結合長庚體系的專業支援與第四代達文西系統,持續推動中部地區婦女微創照護的升級,也希望讓婦科手術不只是治療疾病,更是幫助病人以最短時間回到健康與生活的過程。
圖:嘉義縣政府警察局提供 報新聞/編輯部 嘉義縣新港奉天宮舉辦「2025跑出金虎爺全國路跑賽」活動,本次參賽選手將有6279人,為避免新港奉天宮前廣場及新港鄉中山路段大量車流湧入市區街道造成危險,訂於114年11月22日(星期六)下午2時至114年11月23日(星期日)12時止,針對奉天宮周邊道路規劃交通疏導管制及替代路線如下:一、 會場彈性交通管制(禁止車輛進入):(一) 古民街與新民路口。(二) 古民街與登雲路口。(三) 古民街與文昌街口。(四) 中正路與新民路口。(五) 中正路與福德路口。(六) 中正路與登雲路口。(七) 中山路與嘉159線路口。. 圖:嘉義縣政府警察局提供 二、 例外車輛:執行公務車輛、記者及管制區內居民車輛出入。於114年11月23日4時(星期日)起至10時止,管制車輛進入新港鄉中山路(進入新港市區道路),建議車輛改道路線:嘉民路→164線→新港街道或行駛159線→新中路→157線→新港街道。該活動期間提供各項為民服務措施,如有需要請撥打嘉義縣警察局民雄分局新港分駐所(05)3742009。 圖:嘉義縣政府警察局提供 Please enable JavaScript to view the comments powered by Disqus.
車牌對中「5、6、7、8」劍湖山世界門票299元起。(圖/劍湖山世界提供) (觀傳媒雲嘉南新聞)【記者蘇榮泉/雲林報導】秋高氣爽正是出遊最佳時節,劍湖山世界今(2025)年再推超值活動,自11月20日起祭出「車牌號碼優惠」,凡汽機車車牌中含有「5、6、7、8」任一數字,門票最低每人只要299元起,吸引許多遊客關注。活動期間自2025年11月20日至2026年1月23日(12月31日不適用),以親民價格鼓勵民眾隨時出遊、輕鬆體驗樂園魅力。 不論是追求刺激的雲霄飛車愛好者、尋找文化體驗的深度旅遊客,或是享受親子時光的家。(圖/劍湖山世界提供) 依據活動規則,只要車牌中對中1碼,車上每人即可享499元優惠;若對中2碼以上,則每人只需299元。汽車限優惠4人、機車限2人,相關資訊可於官網查詢。劍湖山世界主題樂園經理張華紋表示,園區希望在沒有連續假期的時段,也能讓民眾以最划算的價格輕鬆出遊。 酷咖啡(KU COFFEE)不僅是時尚咖啡館,更是全國首座以咖啡為主題的「咖啡博覽館」常設展。(圖/劍湖山世界提供) 除了暢玩刺激設施如 G5 飛天潛艇、衝瘋飛車與全台海拔最高幸福摩天輪外,劍湖山更將雲林古坑咖啡文化帶入園區,以「酷咖啡」打造全台首座咖啡主題常設展,讓旅客在樂園中也能品味在地風土。 遊樂園之餘,一定要到「酷咖啡」品嘗招牌冠軍咖啡。(圖/劍湖山世界提供) 園區今年亦推出多項國際級表演,包括年度大秀《愛遊世界奇遇記》,由國際特技團隊帶來高空特技與視覺震撼;以及深受親子喜愛的《恐龍見面會》,讓遊客近距離感受侏羅紀生物的臨場魅力。 全台樂園唯一《恐龍見面會》,在園區內與遊客進行互動實境體驗。(圖/劍湖山世界提供) 在住宿方面,劍湖山渡假大飯店推出最受歡迎的四人同行專案【劍湖山快樂送3+1 同行鬆久久】,每房僅需3,999元起,包含住宿一晚、自助早餐與主題樂園門票,成為許多家庭與團體旅遊的首選。 車牌5.6.7.8 就來劍湖山準備過聖誕吧!(圖/劍湖山世界提供) 不論是喜愛高速雲霄飛車的玩家、尋找文化體驗的旅人,或是規劃親子共遊的家庭,劍湖山皆以一站式服務滿足不同族群需求。從車牌優惠、深度咖啡文化體驗,到國際表演與超值住宿方案,打造全年齡都能盡興的旅遊體驗。更多活動與優惠訊息可至劍湖山世界官網查詢。 劍湖山渡假大飯店推出四人同行專案【劍湖山快樂送3+1 同行鬆久久】,每房僅需3,999元起,包含住宿一晚、自助早餐與主題樂園門票。(圖/劍湖山世界提供) 立即加入【觀傳媒】官方帳號http://lin.ee/q2kd3ut精彩新聞不漏接!
波新聞─李至文/高雄「靈光心影」當代膠彩聯展以「光」與「心」為核心意象,探討人在生命流轉間的自我凝視與心靈回應。展覽試圖從「本心」出發,透過創作回望生命的價值與意義,將短暫的人生昇華為恆久的靈光,折射於自我與世界之間。這不僅是一場視覺的藝術饗宴,更是一場內在的心靈旅程。展覽邀集四位台灣膠彩藝術家──廖瑞芬、林彥良、洪民裕、蕭余洛,以膠彩為媒,運用礦物顏料、金屬箔與泥層疊染的技法,呈現筆觸的流動與光澤變化,展現出不同世代藝術家對生命、自然與心靈的感悟。廖瑞芬以花卉植物為象徵,從天地萬物平等的哲思出發,透過「藉物寄情、以物寓意」的方式,展現萬物一體的自然律動,凝煉出東方哲學的靜謐意境。林彥良則以花開花謝的循環寓意生命的短暫與無常,在花瓣綻放與飄落的瞬間,捕捉時間的流逝與生命的脆弱之美,引領觀者思索存在的真義。洪民裕的作品融合動物與植物的形貌,構築出帶有神話色彩的自我內心世界。他筆下的奇異人獸象徵情感與力量,展現自癒、守護與反思的功能,寄託對現實社會的感懷與啟示。蕭余洛以幻想的烏托邦為創作核心,結合童年記憶與文化想像,構築出一個多物種共生的理想境界。畫面中的精靈與生物自由變形、共存共榮,展現對和諧世界的渴望。四位藝術家透過膠彩語彙,開啟了跨世代的心靈對話。廖瑞芬與林彥良以自然寓意生命,描繪流轉與無常;洪民裕與蕭余洛則以當代神話與烏托邦想像,交融現實與夢境。作品之間彼此映照,形構出對生命與心靈的多層凝視。「靈光心影」透過傳統膠彩語言的當代表述,邀請觀者在觀看中重回自我內在的靜謐時刻。那一瞬間的光,或許正是心靈深處的倒影。展覽資訊:展覽名稱:「靈光心影」當代膠彩行跡幻景聯展藝術家:廖瑞芬、林彥良、洪民裕、蕭余洛展期:2025.11.07-2026.01.10地點:新思惟人文空間(高雄市三民區河堤路298號2樓)開放時間|週二至週六 10:00-18:30
墨新聞|記者鄭富鈺/綜合報導 臺北市長蔣萬安今(27)日赴市議會進行市政總質詢。議員在質詢時肯定蔣萬安施政,特別是《2025城市脈動:魅力城市》調查報告中,臺北首度奪得全球最想長居城市冠軍,連民進黨議員都肯定實屬難得! 議員詢問蔣萬安這幾年最亮眼的成績是哪一項?蔣萬安表示就是爭取輝達進駐臺北。他感謝議會不分黨派全力的支援,在過程當中雖然經過一些談判的波折,但是最終能夠順利圓滿,相信市民也都感到肯定。 至於議員提問市政有待改進的部分,蔣萬安則表示,都市更新的推動雖不是一蹴可及,但在他上任之後推出都更八箭政策,所有累積都更的報核案件數是過去八年的2.3倍,也是其他五都直轄市加總的1.4倍,而現在更進入了大都更時代。蔣萬安強調,今天不做,明天就會後悔,所以市政府會加速審議的程序,縮短相關的期程,讓更多的都市更新在台北市實現。 蔣萬安赴市議會進行市政總質詢。(北市府資料照) 議員關心雙城論壇的進度,蔣萬安表示,臺北上海雙城論壇行之多年,已經15年,而且是目前基本上是少數僅存兩岸官方交流的管道,希望能夠持續的舉辦下去。蔣萬安也強調,雙城論壇很明確就是定位在城市之間的交流,包括這一次簽的MOU就是談水治理、職能培訓等,這些都是無關乎任何政治敏感性的議題,所以市政府希望維持這樣的基調,秉持對等、專業、善意、互惠的原則,持續能夠維持兩岸之間的溝通交流。至於確切的時間與行政上的細節,都還在跟上海方確認,等到最後溝通確定拍板,一定會跟大家做一個說明。 議員關心輝達落腳臺北市T17、T18基地未來的用電問題。蔣萬安表示絕大部分的民眾當然希望能夠確保民生用電的充足,同時,為了產業的發展,希望能夠有穩定的供電,所以現階段最重要對台灣穩定供電有幫助的方案,當然都支持。 議員憂心行政院提出院版「財政收支劃分法」修正草案恐造成臺北市政府各局處的預算總計短少300億,這些排擠效應將嚴重影響社會福利與教育等推動。蔣萬安強調餅就這麼大,確實會造成各局處在推動施政上面的困擾,以及市政府在籌編預算上面的難處。蔣萬安表示,由於目前行政院的版本沒有具體的試算數字出來,也沒有任何討論的基礎,不知道是行政院算不出來?還是行政院有數字卻不願意公佈而蓋牌?蔣萬安強調不管是哪一種方式,都不是理性討論的方式。 蔣萬安也表示,光從行政院版本的法條內容來看,尚有很多的不確定性。所以希望行政院能提出具體的試算公式,各縣市政府再根據行政院的版本內容來研究會分配到多少的統籌分配稅款、一般性補助款以及計畫性補助款,這樣才能夠有後續討論的基礎。 蔣萬安再三呼籲,如果行政院希望能夠好好理性就行政院的版本來討論,就請行政院一定要提供數字跟各地方政府好好來溝通,尤其這也牽涉到後續事權的分配,也希望行政院跟立法院能夠好好的討論。此外,蔣萬安也呼籲市議會應該站在一致的立場,為了臺北市民的福祉,以及既有在推動的各項市政建設與服務能夠不受影響。 議員關心因場地租借的限制而影響演唱會經濟的推動。蔣萬安表示,確實在檔期審議以及安排上有過於僵化以及制式的問題,所以他已責成林奕華副市長邀集觀傳局、文化局、捷運公司等相關單位重新檢討相關規範,希望能夠更靈活、更有彈性,此外也包括場館周邊做整體文化的配合與宣傳,來創造雙贏的局面,能夠真正帶動演唱會的經濟。蔣萬安舉例,當獲知Super Junior要在大巨蛋舉辦演場會,觀傳局很快做了事前的各項規劃與溝通,包括在捷運站播放Super Junior的音樂以及在大巨蛋周邊有相關的燈飾的裝點等等。蔣萬安強調,未來希望能夠更早掌握一年的檔期,這樣就可以有充分的時間來做更完整的規劃與宣傳。 議員關心日本福島水產品進口查驗安全問題。蔣萬安表示,由於中央取消日本福島五縣市的產地標示,民眾看到的是日本進口的產品。衛生局仍會加強稽查及檢驗的頻率與機制,為市民的食安問題嚴格把關。 此篇文章最開始出處為: 臺北奪全球最想長居城市冠軍 蔣萬安:輝達進駐是最大成就
【News586/記者張淑慧報導】臺灣港務公司為強化高雄港港區業者交流、凝聚合作共識及研議港埠發展策略,高雄港務分公司於11月25日(星期二)舉辦「高雄港港區業者座談會」,由周永暉董事長親自主持,面對面傾聽高雄港區業者心聲與建議,持續以公司成立之初心「團隊合作、誠信經營、專業服務、創造顧客」,朝向「強港航、興觀光、智管理、達永續」四大目標落實精進。 圖/周永暉董事長致詞 本次座談會由周董事長率港務公司王錦榮總經理、高雄分公司王派峰總經理以及相關經營團隊主管出席,邀集高雄港區相關產業之公協會、航商及能源等業者共同與會交流。高雄港務分公司於會中簡報高雄港未來將啟動之相關工程建設、重大招商及開發案件與能源相關發展計畫。 港務公司期能藉此座談會,掌握客戶期待、致力回應業者需求,廣納政策調整及服務優化之意見參考,用心建立環境、社會及利害關係人共榮發展的高雄港永續生態圈。 Continue Reading
【News586/記者彭慧婉報導】桃園市政府5日於內壢高中及桃園高中舉行「校園隨袋徵收政策說明會」,由蘇俊賓副市長分別於上、下午參與聽取並回應學校行政人員與老師的第一線意見。蘇副市長強調,校園是城市垃圾減量與資源循環教育的核心場域,若能在校園端建立「減量」的生活行為,學生將自然把概念帶回家庭,形成更大規模的永續效應。 桃園目前採「隨水徵收」方式收取垃圾處理費,無法反映垃圾量多寡,導致垃圾減量誘因不足。建立「丟多少、付多少」的隨袋徵收制度,有助促使各界更重視源頭減量,同時讓費用更符合公平原則。校園端推行隨袋徵收除了可直接降低垃圾量外,也能成為環境教育的重要實踐場域。 說明會中,環保局長顏己喨也在現場逐項回應校方普遍關注的議題,包括在專用袋供應方面,市府已於 12 月向所有學校配發第一批專用垃圾袋,並將於 12 月 19 日起再補發一批,確保整個試行期供應充足。學校一般垃圾須使用專用袋,資源回收物、廚餘與落葉則依現行分類方式處理,無需使用專用袋;若校內舉辦大型活動,事先通知清潔隊並完成分類,活動所產生的一般垃圾可免用專用袋,以減輕學校行政壓力。經費部分,市府已取消原本隨水徵收的清潔費,學校可將節省下的水費挪作購袋支出;若仍有不足,環保局與教育局將提供補助,不會造成學生與家長額外負擔。 針對外來垃圾問題,環保局會成立專責巡查小組和校方共同合作,每週定期巡視校園周界環境,並設置通報專線。未來將建立學校周邊「高風險熱點」管理機制,如查獲違規行為將依法裁處,以避免外部民眾影響校園垃圾量。 局長顏己喨表示,隨袋徵收目前仍處壓力測試階段,將持續蒐集意見並依執行狀況調整,並已與各校成立群組、設置諮詢專線(0800-000-982)與網頁以及執行指引,讓學校在試辦階段能隨時得到協助。劉仲成局長也表示,垃圾費隨袋徵收是正確的政策,希望各位學校的老師可以全力配合,如果有任何執行面的問題,教育局都會願意共同協助來解決。 說明會亦邀請新北市信義國小、平鎮區南勢國小和桃園區桃園國小分享政策實務經驗。新北市陳韻如老師表示,推行初期的確會因為習慣的改變造成一些困擾,但只要經過磨合做好垃圾分類,垃圾量是可以有效下降的。桃園國小和南勢國小則分享如何集中蒐集和做好垃圾分類就能良好配合政策推行。環保局表示,桃園多數中大型學校若能仿效規模化執行,不僅能大幅降低垃圾量,也能讓學生更深刻理解垃圾減量的重要性。 環保局強調,永續城市的核心不只是政策制度的改變,更在於生活習慣的累積。透過校園隨袋徵收的推動,市府希望讓學生從日常行為出發,理解每一份垃圾的重量與成本,並進一步建立尊重資源、珍惜環境的價值觀。未來市府將持續深化校園端的資源循環教育,打造更潔淨、具永續意識的桃園。(圖:環保局提供) Continue Reading
波新聞─李至文/高雄2025台灣醫療科技展於12月4至7日在南港展覽館盛大登場,高雄醫學大學以九項創新技術參展,內容涵蓋新藥、智慧醫材與臨床AI,多面向展現南台灣生醫研發的整合成果。高醫大並於今日(6)在展場舉辦「KMU SPARK暨國家新創獎成果發表會」,揭示近年在SPARK計畫推動下所累積的創新量能與轉譯成果。高雄醫學大學副校長黃友利表示,高醫大近年積極推動國科會SPARK計畫,致力建構南部生醫加值轉譯基地,整合校內研究與附屬醫療體系的臨床場域,形成南部規模最完整的生醫創新鏈。計畫執行至今,已催生一間藥品新創公司與三間醫材新創公司,多項技術也已獲得政府重大計畫支持或成功技轉,有效加速研究成果進入臨床與產業,為南台灣生醫產業發展注入新動能。這次展出的五項新藥開發成果,完整呈現高醫大在抗體藥物、天然物新藥與基因檢測平台領域的研發深度。其中,已故講座教授鄭添祿研發的新一代精準抗體藥物PSM101,運用「萬能抗體鎖 Universal Antibody Lock™」技術,取得18國專利,具備在腫瘤微環境中被蛋白酶「解鎖」後啟動的特色,可望大幅降低治療副作用,對頭頸癌與大腸癌患者具有重要治療潛力。天然藥物研究所顏嘉宏教授團隊則以台灣特有可食用植物開發代謝性脂肪肝(MASLD)植物新藥,可在脂肪肝炎、肝纖維化乃至肝癌預防上發揮關鍵作用。藥學系曾志華教授的 TCH-3511大腸靶向家族性瘜肉症預防新藥,可降低腸道致癌因子再活化,為家族性大腸瘜肉症提供新的預防策略。吳志中教授團隊所開發的抗血栓新藥WBH-6731,在不影響正常止血功能的前提下展現優異抗血栓能力,適合無法耐受傳統抗血小板藥物的族群;而林文瑋副教授研發的 DSCE 基因啟動子檢測平台,則以高靈敏度、低成本與高穩定性,大幅提升新藥篩選效率,能縮短約五成實驗時間並減少廢棄物產生。除新藥技術外,高醫大在智慧醫材與臨床 AI 領域亦展現強大創新能量。這次展出的四項成果中,包括王志光教授團隊以3D積層製造打造的生物陶瓷骨移植替代物,能模擬自然骨的孔洞結構並實現客製化設計,為骨缺損治療帶來新選擇;高浩雲教授與朱基銘教授共同研發的「智慧動態心功能評估系統」,結合穿戴式感測技術與雲端平台,可即時追蹤心臟狀態,提升運動監測與臨床照護的安全性;黃書彬教授與李佳陽教授團隊研發的「二代荷爾蒙藥物治療決策輔助系統」,透過血液 RNA 與核心演算法分析,能精準預測攝護腺癌患者的用藥反應,平均準確度達 87.25%,協助臨床制定個人化治療方案;蔡明儒教授團隊技轉的「氣管內管位置異常警示系統」則透過 AI 自動檢測胸部 X 光中的氣管內管位置,可大幅降低滑脫與併發症風險,強化急重症照護品質。高醫大表示,這次展出的技術中,已有多項成果完成技術移轉或成功成立新創公司,反映學校在基礎研究、臨床合作與產業落地的成熟度。未來將持續推動 SPARK 計畫,深化臨床鏈結、促進技轉與創投媒合,讓更多創新技術得以成功商業化,進一步帶動南台灣生醫產業升級,並提升台灣生醫科技的國際競爭力。
圖/高雄市政府警察局前鎮分局 港灣新聞網/高雄報導 高雄市政府警察局前鎮分局今(6)日表示,草衙派出所於上午 8 時 39 分 接獲通報,指稱前鎮區 中山路與金福路路口 發生交通事故。警方立即派員趕赴現場,第一時間進行交通管制,避免二次事故發生。 三車連環擦撞 1人送醫、2人輕傷自行就醫 警方調查後指出,事故涉及三名駕駛: 郭姓女駕駛(約40歲):駕駛自小客車由金福路西向東直行,與另一輛自小客車發生碰撞,後續又波及第三車。受傷由119救護人員送醫治療,經診治無生命危險。 楊姓男駕駛(約38歲):沿中山路北往南行駛,被撞後受輕傷,自行就醫。 林姓男駕駛(約50歲):同自中山路南下方向行駛,車輛遭波及但本人未受傷。 三名駕駛酒測值均為 0 警方初判:郭姓女駕駛疑闖紅燈 經前鎮分局員警逐一實施酒測,三名駕駛酒測值均為 0,排除酒駕因素。 警方初步勘驗與訪查後研判,事故主因疑為 郭姓女駕駛未依號誌行駛、疑似闖紅燈,導致與直行車道的自小客車發生擦撞,並進一步造成三車連環碰撞。 事故現場後續已由交通大隊進行深入肇因分析,以釐清完整事故責任。 前鎮分局呼籲:駕駛務必遵守號誌管制 確保自身與他人安全 前鎮分局強調,路口事故大多源自 未依號誌、搶快通行、分心駕駛 等常見違規行為,一旦發生事故,不僅易造成傷害,更可能面臨相應的法律責任。 警方再次提醒: 行車務必遵守號誌、減速慢行,才能確保自身與他人的行車安全。